心肌缺血/再灌注
缺血性心脏病已成为心血管疾病患者的主要杀手。心肌梗死(MI)可导致不可逆的心肌坏死、功能细胞丢失以及一系列引起心力衰竭和死亡的内部变化。目前,治疗方法包括经皮冠状动脉介入治疗(PCI)和冠状动脉旁路移植术(CABG),以减少心肌梗死面积从而显著改善预后。然而,心肌缺血/再灌注(MI/R)过程中的心肌损伤是不可避免的,引起钙超载、氧自由基(OFR)增多、心肌纤维能量代谢障碍、炎症反应、心肌细胞凋亡等一系列损伤性变化。因此,研究如何降低再灌注带来的心肌损伤也是一项重要的研究工作。
我们建立了稳定的缺血再灌注模型和永久性缺血模型,适用于临床前研究,治疗急性心肌梗死和梗死后再灌注损伤的药物的研究和新药评估。


实验动物
小鼠、大鼠、兔

造模方法
永久性缺血模型:
动物1%戊巴比妥钠腹腔麻醉,设置呼吸机参数,常规备皮消毒,气管插管沿声门插入,连接呼吸机行机械通气。经右颈总动脉切开用PE90导管置管至左心室,采用生物机能实验系统监测血流动力学。四肢接心电电极,II导联监测心电。肢体Ⅱ导联监测ECG。左侧胸部剪开皮肤,钝性分离肌肉,3、4肋间开胸器撑开肋骨,暴露心脏,以左心耳与肺动脉圆锥之间心大静脉为标志,左心耳下缘1-2mm处进针(不同动物进针处略有不同),肺动脉圆锥侧出针,结扎左冠状动脉前降支,心电图ECG QRS波形变高变宽,S波与T波交点(J点)明显抬高,或者出现R波消失,呈典型QS波形时,提示结扎成功。
缺血再灌注模型:
操作方法与永久性缺血模型一致,结扎时,结扎线与血管之间需垫一PE50硅胶管。结扎30min后小心拔出PE50硅胶管,使左冠脉前降支血流再通,得以复灌。心电图ECG QRS波形变高变宽,S波与T波交点(J点)明显抬高,或者出现R波消失,呈典型QS波形时,提示结扎成功。


模型评价
TTC染色:
光镜下拍照,采用Image J软件进行统计,计算方法为梗死面积百分比=梗死区域面积/(总面积-心腔面积)*100%。


心肌酶谱4项:
造模2h后,动物静脉取血分离血清,进行心肌酶谱4项检查。与假手术组相比,模型组天门冬氨酸氨基转移酶、肌酸激酶、肌酸激酶-同工酶、乳酸脱氢酶均明显上升且有极显著差异(p<0.01);与模型组相比,阳性药组肌酸激酶明显降低且有极显著差异(p<0.01),其余指标略有下降但无显著性差异。


血流动力学监测:
结果显示,与假手术组比,模型组大鼠左室最大收缩压(LVSP)、左心室平均压(LVAP)、左室舒张末压(LVEDP)和左室内压上升(或下降)最大速率±dp/dtmax均有不同程度的降低,其中,LVSP在缺血即刻显著降低(P<0.05),+dp/dtmax在缺血15min和再灌注即刻显著降低(P<0.05),LVEDP在缺血-再灌注各时间点均显著升高(P<0.05,P<0.01,P<0.001)


病理检查:
假手术组心肌纤维排列整齐,心肌细胞正常完整,无空泡变性、水肿;心肌间和心肌外膜无炎细胞浸润等。
模型组心肌间可见局灶性炎细胞浸润(以淋巴细胞和中性粒细胞为主),并伴随心肌外膜炎细胞浸润(以中性粒细胞为主),心肌细胞空泡变性、水肿,部分切片可见心腔内有血栓形成。
假手术组 10× | 假手术组 20× |
|
|
模型组 10× | 模型组 20× |
|
|

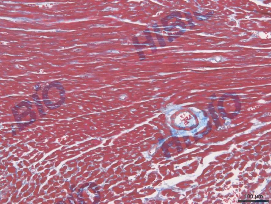
特殊染色:
Masson结果显示,与正常组比较,模型组心脏组织可见大量纤维增生;
假手术组 10× | 模型组 10× |
|
|

扫码关注我们
获取更多信息
咨询电话:0571-28313118
