糖尿病肾病是糖尿病病人最重要的合并症之一,糖尿病病人中约有30%的人会发生糖尿病肾病,可导致肾功能衰竭和尿毒症,是最难治的一种肾病,即将成为我国尿毒症的第一大病因。 其发病机制至今尚未阐明,因此,建立理想的实验动物模型是研究糖尿病肾病发病机制、疾病防治、新药开发的关键环节。
杭州赫贝致力于动物疾病模型研究与开发,在糖尿病并发症的临床前研究上有丰富的经验。本文将对糖尿病肾病模型进行详细的介绍。
糖尿病肾病(DKD)动物疾病模型
造模方法
STZ诱发型I型糖尿病模型,72小时后会出现血糖稳定升高、“三多”症状(多饮、多食和多尿)明显,检测血糖在11.1mmol/L时即制成无炎性I型糖尿病。每周测晨起血糖及体重,8周后剔除血糖恢复动物,其余动物继续常规饲养。每周监测血清肌酐、尿蛋白。
关键点
合适的STZ剂量以保持长期的高血糖状态。
不同诱导时间肾脏病变进程具有一定差异。
模型评价
实验过程中与正常对照组(Naive)小鼠对比,所有DKD模型组(Model)小鼠毛发干枯无光泽,形体消瘦;精神状态不佳,嗜睡;饮食饮水多,小便异常频繁。
与Naïve组相比Model组体重持续下降,血糖稳定升高,血肌酐和尿蛋白均高于正常对照组。


病理评价:
试验终点Model组小鼠肾脏病变明显,HE染色显示肾小管萎缩,纤维增生,肾小囊壁增厚,炎细胞浸润。Masson 染色可见明显的肾小间质纤维增生。PASM染色可见细胞核、肾小囊壁、基膜和系膜区呈黑色,各组未见基膜增厚。电镜下可见不同程度足细胞染色质边聚核固缩、足突融合及基膜增厚。


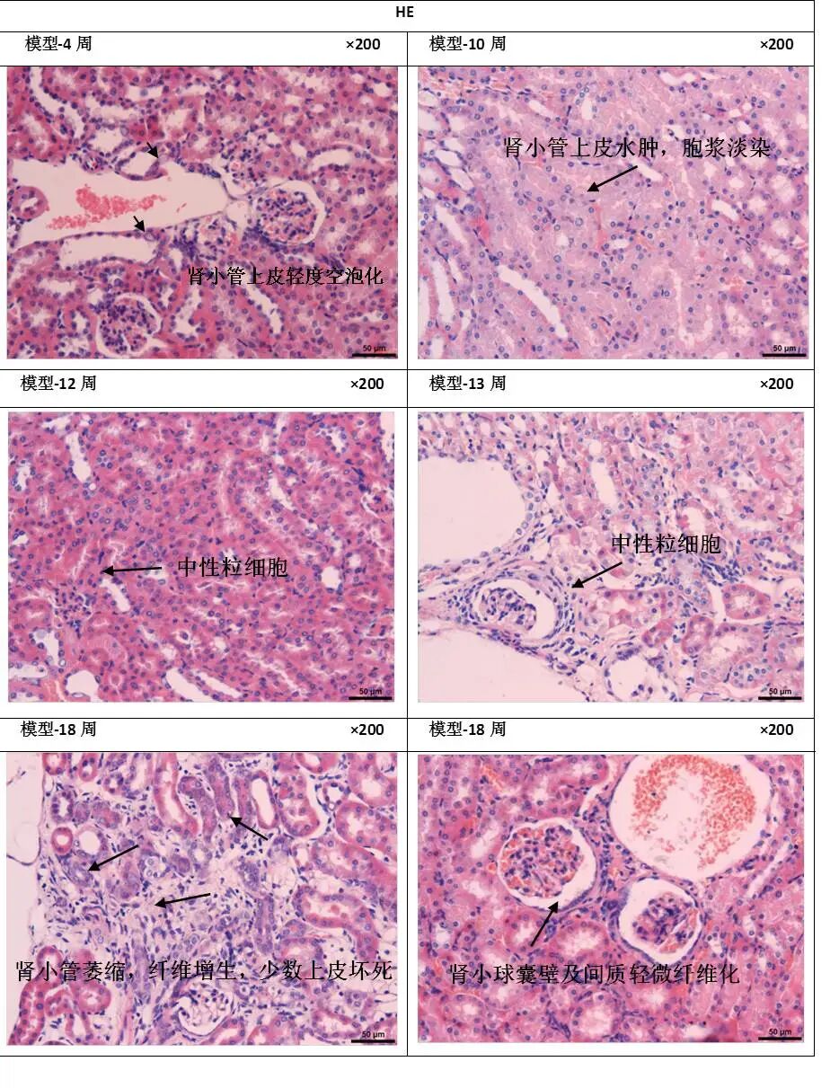
糖尿病肾脏病变进程
糖尿病肾病动物模型诱导成功的关键在于把握病变进程,诱导时间较短则肾脏无损伤,诱导时间过长肾脏损伤严重则不能作为药效评价的有效模型。
HE染色显示:4周时间点肾间质未见炎症浸润,肾小管内未见蛋白管型,偶见上皮空泡化,肾小球内基膜系膜未见明显增厚。10周时间点除见肾小管上皮轻度水肿外,无明显病变。12周和13周样本间质可见少量炎细胞浸润。18周肾间质水肿,肾小管上皮细胞坏死或扩张,个别肾小管萎缩,萎缩周围可见较多炎细胞浸润和成纤维细胞增生,肾小球可见轻微囊壁增厚。21周可见肾小管上皮有坏死,部分肾小球囊壁及间质轻微纤维化。详见下图。


Masson染色显示:4周时间点肾小球内基膜系膜结构清晰,未见基膜系膜增生。10周、12周、13周和21周可见肾间质纤维增生,多集中于动脉周围。



扫码关注我们
更多动物疾病模型分享